Ежедневно с 09.00 до 21.00
г. Мурманск, ул. Академика Павлова 9
Ежедневно с 09.00 до 21.00
г. Мурманск, ул. Академика Павлова 9
Рассрочка 0% на 12/24/36 мес. и льготы пенсионерам
Рассрочка 0% на 12/24/36 месяцев и льготы пенсионерам
Скидка до 40%
Профосмотры каждые пол года — 0 ₽
3D-диагностика интраоральной камерой — 0 ₽
КТ-снимок с расшифровкой — 0 ₽
получите расчёт стоимости
+ скидки
+ скидки
Консультация ведущего врача и план лечения — 0 ₽
Ответьте на 4 вопроса —
Зубы, как родные, и никаких лишних трат!
"
Зубные протезы нового поколения в Мурманске
со скидкой до 25%
со скидкой до 25%
Зубные протезы нового поколения
в Мурманске
со скидкой до
в Мурманске
со скидкой до
Система кэшбэка,
возврат % на бонусную карту
возврат % на бонусную карту
Скидка при полной оплате
плана лечения
плана лечения
Возврат НДФЛ 13%
от стоимости лечения
от стоимости лечения
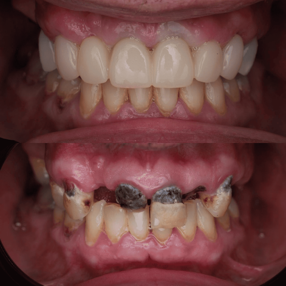
Новое поколение зубных протезов
с супер-фиксацией
Полное восстановление жевательной функции. Естественная речь и внешний вид зубов. Комфортное ношение благодаря надёжной фиксации.
Собственная цифровая лаборатория – это то, что отличает нас от многих клиник
Анатомическая точность
Используем цифровые технологии для идеального прилегания протеза с 1 раза без натирания
Используем цифровые технологии для идеального прилегания протеза с 1 раза без натирания
Скорость
Вы получите протез в кратчайший срок
Вы получите протез в кратчайший срок
Экономия без переплат
Не платим сторонним зуботехническим лабораториям за изготовление протезов
Не платим сторонним зуботехническим лабораториям за изготовление протезов
Получите имплантацию с приживаемостью 99,8% у экспертов мирового уровня
Гарантия на работу врача
в 10 раз больше, чем по Минздрав
в 10 раз больше, чем по Минздрав
Импланты с гарантией 100 лет:
7 систем под ваш случай и возможности
7 систем под ваш случай и возможности
Углубленная диагностика
костей и мягких тканей челюсти
костей и мягких тканей челюсти
Ускоренное приживление
за счёт точной установки до 0,1 мм
за счёт точной установки до 0,1 мм
* подробности БЕСПРОЦЕНТНОЙ РАССРОЧКИ БЕЗ ПЕРЕПЛАТ уточняйте у администратора
Протезирование зубов в РАССРОЧКУ без переплат!
НОВЫЕ ЗУБЫ СЕЙЧАС -
ОПЛАТА ПОТОМ
* каждый план лечения разрабатывается индивидуально и зависит
от множества
факторов в
конкретном
случае
от множества
факторов в
конкретном
случае
* каждый план лечения разрабатывается индивидуально и зависит от множества факторов в конкретном случае
Скидка до 40%
Профосмотры каждые пол года — 0 ₽
3D-диагностика интраоральной камерой — 0 ₽
КТ-снимок с расшифровкой — 0 ₽
Консультация ведущего врача и план лечения — 0 ₽
Ответьте на 4 вопроса, чтобы получить в подарок:
Рассчитайте стоимость
и закрепите цену
с максимальной скидкой
Свободно общайтесь и искренне улыбайтесь,
как это делают наши пациенты
как это делают наши пациенты
Смотрите видео и убедитесь сами!
Сделали и забыли
Присоединяйтесь к числу довольных пациентов нашей клиники и забудьте о проблемах с зубами!
Счастливые пациенты — наша главная мотивация и самая высокая награда:
Запишитесь на БЕСПЛАТНУЮ ДИАГНОСТИКУ к ведущим экспертам по имплантации и протезированию зубов:
Диагностика определяет точный план лечения и конечную цену и не обязывает делать протезирование в нашей клинике:
Получите подробную оценку челюстно-лицевой системы
Узнайте качество костной ткани челюсти и подходящие протезы
Получите план лечения в вашем случае и расчет со всеми скидками